

D I J A G N O S T I K A P L A N T R E T M A N A C E N O V N I K L O K A C I J A
D I J A G N O S T I K A
Prethodi svim vrstama medicinskih zahvata. Koristeći najmodernije tehnologije i aparate, svojim pacijentima garantujemo najkvalitetniju uslugu uz rezultate koji su vidljivi odmah

D I G I T A L N A
S T O M A T O L O G I J A
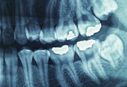
Digitalna stomatologija omogućava preciznije planiranje zahvata pomoću savremenih digitalnih tehnologija, čime se postižu najbolji rezultati za pacijente.
D I G I T A L N A
S T O M A T O L O G I J A
Digitalna stomatologija omogućava preciznije planiranje zahvata pomoću savremenih digitalnih tehnologija, čime se postižu najbolji rezultati za pacijente.
D I G I T A L N A
S T O M A T O L O G I J A
Digitalna stomatologija omogućava preciznije planiranje zahvata pomoću savremenih digitalnih tehnologija, čime se postižu najbolji rezultati za pacijente.

P R E V E N C I J A
P R E V E N C I J A
T R E T M A N I
I N O V A T I V N A L A S E R T E R A P I J A U S T O M A T O L O G I J I
I N O V A T I V N A L A S E R T E R A P I J A
ŠTA SU HELBO I ELEXXION LASERI?
HELBO laser
Fotodinamička terapija za eliminaciju bakterija – bez antibiotika.
Elexxion laser
Precizno sečenje, sterilizacija i biostimulacija tkiva – bezbolno i bez šavova.
HELBO I ELEXXION LASERI?
HELBO laser
Fotodinamička terapija za eliminaciju bakterija – bez antibiotika.
Elexxion laser
Precizno sečenje, sterilizacija i biostimulacija tkiva – bezbolno i bez šavova.
KADA LASER MOŽE ZAMENITI HIRURGIJU?
⋅ Zaštita desni i implanta
⋅ Sterilizacija zubnih kanala
⋅ Uklanjanje upala, afti i rana
⋅ Bez skalpela u većini slučajeva
KADA JE HIRURGIJA POTREBNA?
⋅ Napredne resorpcije kosti
⋅ Rekonstruktivnih zahvata
⋅ Velikih cista i tumora
Ali čak i tada laser ubrzava zarastanje i smanjuje postoperativni bol
PREDNOSTI ZA VAS
⋅ Bez rezanja i šivenja
⋅ Minimalno krvarenje i otok
⋅ Brži oporavak
⋅ Veća preciznost
⋅ Prijatnije iskustvo
ZAKAŽITE BEZBOLAN TRETMAN
Svaki pacijent je različit.
Zato individualno pristupamo svakom pacijentu sa ciljem pronalaženja najmanje invazivnog rešenja za Vaš problem.
KADA LASER MOŽE ZAMENITI HIRURGIJU?
⋅ Zaštita desni i implanta
⋅ Sterilizacija zubnih kanala
⋅ Uklanjanje upala, afti i rana
⋅ Bez skalpela u većini slučajeva
KADA JE HIRURGIJA POTREBNA?
⋅ Napredne resorpcije kosti
⋅ Rekonstruktivnih zahvata
⋅ Velikih cista i tumora
Ali čak i tada laser ubrzava zarastanje i smanjuje postoperativni bol
PREDNOSTI ZA VAS
⋅ Bez rezanja i šivenja
⋅ Minimalno krvarenje i otok
⋅ Brži oporavak
⋅ Veća preciznost
⋅ Prijatnije iskustvo
ZAKAŽITE BEZBOLAN TRETMAN
Svaki pacijent je različit.
Zato individualno pristupamo svakom pacijentu sa ciljem pronalaženja najmanje invazivnog rešenja za Vaš problem.
Dr Dragoslav Vuković
Specijalista zubne protetike, sa dvadesetogodišnjim iskustvom u oblasti stomatologije.
Diplomirao na stomatološkom fakultetu Univerziteta u Beogradu.
Edukovao se u oblasti estetske stomatologije.
Član je od 2008. godine E.S.C.D. (Evropska asocijacija estetske stomatologije).
Edukovao se u oblasti implantologije kod prof. Manfreda Langa na klinici u Ninbergu.
U ordinaciji Bel Dental House su zastupljene sve oblasti stomatologije uz saradnju eminentnih stručnjaka iz oblasti maxillofacijalne hirurgije i oralne hirurgije kao i ortipedije vilica.


Zakažite pregled
Za zakazivanje konsultacija ili pregleda kao i za dodatne informacije o našim tretmanima i uslugama kontaktirajte nekog od članova našeg dentalnog tima.
11:00-19h Ponedeljak – Petak
Krunska 37, Beograd, Srbija
+381 11 324 315 6
+381 64 612 448 7
Zakažite pregled
Za zakazivanje konsultacija ili pregleda kao i za dodatne informacije o našim tretmanima i uslugama kontaktirajte nekog od članova našeg dentalnog tima.
11:00-19h Ponedeljak – Petak
Krunska 37, Beograd, Srbija
+381 11 324 315 6
+381 64 612 448 7
Free Your smile !












